
Guía rápida para prevenir las caries infantiles en casa
Las caries infantiles son uno de los problemas dentales más frecuentes en los niños. De hecho, según la Sociedad Española de Odontopediatría, más del 30%

Las caries infantiles son uno de los problemas dentales más frecuentes en los niños. De hecho, según la Sociedad Española de Odontopediatría, más del 30%

La salud bucodental infantil no depende solo del cepillado. La alimentación juega un papel clave en el desarrollo de unos dientes fuertes, encías sanas y

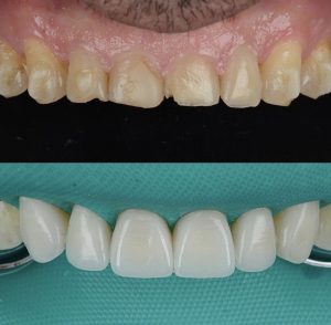
Las carillas dentales FirstFit son una solución estética avanzada que permite mejorar la sonrisa de forma rápida, natural y mínimamente invasiva. Se trata de finas

Los implantes dentales son fundamentales para mantener una buena salud oral, ya que reemplazan los dientes perdidos, mejorando tanto la funcionalidad como la estética de

Los implantes dentales son soluciones modernas que reemplazan dientes perdidos con raíces artificiales, ofreciendo una sonrisa natural y funcional. Aunque tienen una tasa de éxito

Una sonrisa blanca es símbolo de salud y confianza. Tener dientes relucientes no solo mejora nuestra apariencia, sino que también influye en cómo nos perciben
Esta web utiliza cookies para que podamos ofrecerte la mejor experiencia de usuario posible. La información de las cookies se almacena en tu navegador y realiza funciones tales como reconocerte cuando vuelves a nuestra web o ayudar a nuestro equipo a comprender qué secciones de la web encuentras más interesantes y útiles.
Más información haciendo click aquí.
Las cookies estrictamente necesarias tiene que activarse siempre para que podamos guardar tus preferencias de ajustes de cookies.
Si desactivas esta cookie no podremos guardar tus preferencias. Esto significa que cada vez que visites esta web tendrás que activar o desactivar las cookies de nuevo.
Esta web utiliza Google Analytics para recopilar información anónima tal como el número de visitantes del sitio, o las páginas más populares.
Dejar esta cookie activa nos permite mejorar nuestra web.
¡Por favor, activa primero las cookies estrictamente necesarias para que podamos guardar tus preferencias!
Más información sobre nuestra política de cookies