Carillas dentales en la Laguna

En nuestra clínica dental en San Cristóbal de La Laguna te ayudamos a mejorar la forma, el color y la armonía de tus dientes de manera segura y personalizada.
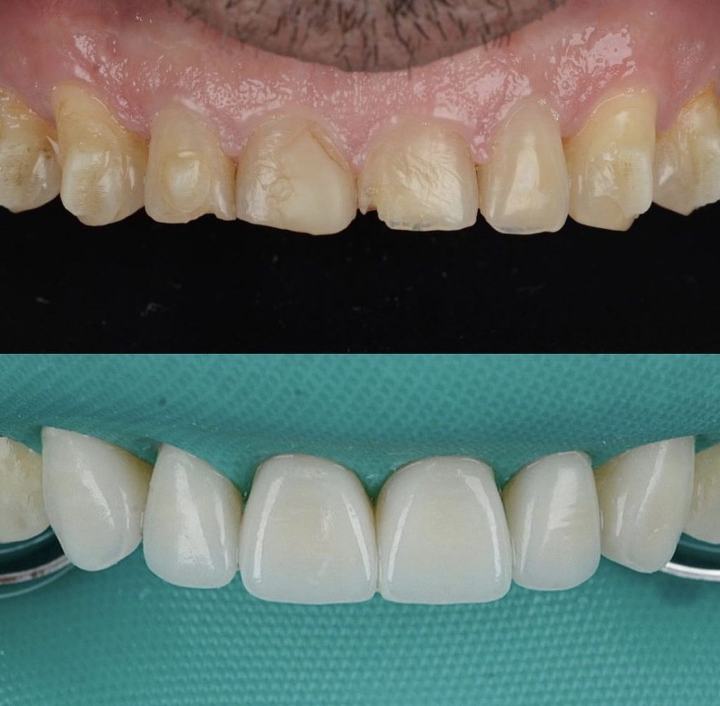
Las carillas dentales son uno de los tratamientos más solicitados por quienes desean una sonrisa más estética, natural y con resultados duraderos.

¿En qué consiste las Carillas dentales FirstFit?

Las carillas dentales FirstFit® representan la última innovación en estética dental, diseñadas para transformar tu sonrisa con la máxima precisión y en menos tiempo. Gracias a la tecnología digital avanzada, se crean carillas totalmente personalizadas que se adaptan de forma natural a tu dentadura, logrando un resultado impecable y duradero.

En nuestra clínica, el Dr. Lorenzo-Cáceres aplica esta técnica pionera que combina diseño digital y fabricación asistida por ordenador. Con ella es posible corregir manchas aisladas, pequeñas fracturas, desgastes localizados o ligeras asimetrías, todo con un ajuste perfecto desde la primera colocación.

El resultado: una sonrisa armónica, natural y en perfecta sintonía con tu rostro.

Transforma tu sonrisa con carillas dentales personalizadas

Las carillas dentales permiten corregir manchas, pequeñas fracturas o ligeras asimetrías de forma rápida y mínimamente invasiva. Con resultados naturales y duraderos, logran una sonrisa armónica y estética que se adapta a ti.

 

Pide tu primera cita gratuita

¿En qué consiste realmente la tecnología FirstFit?

Con el método FirstFit, el Dr. Lorenzo-Cáceres puede mejorar tu sonrisa a través de  restauraciones estéticas con una precisión milimétrica y en mucho menos tiempo. Gracias a guías personalizadas impresas en 3D, el tratamiento se lleva a cabo de forma mínimamente invasiva y con resultados predecibles desde el primer momento.

  • Tratamiento completo en una única cita de preparación y colocación.

  • Mayor comodidad y satisfacción para el paciente.

  • Resultados naturales y consistentes.

  • Menor tiempo en el sillón dental.

  • Proceso simplificado y eficiente de preparación y cementación.

Con las carillas dentales FirstFit, no solo mejoras tu sonrisa, también disfrutas de un tratamiento rápido, cómodo y adaptado a ti.

Descubre nuestros tratamientos dentales en La Laguna

En Clínica Lorenzo Cáceres, en pleno centro de La Laguna, ofrecemos tratamientos dentales personalizados para cuidar tu sonrisa con tecnología avanzada y un equipo con más de 30 años de experiencia.

Pide tu cita y da el primer paso hacia tu sonrisa perfecta.

Pide tu primera cita gratuita

Preguntas frecuentes sobre las Carillas dentales firstFit en La Laguna

Las carillas dentales FirstFit son un sistema avanzado de diseño y colocación de carillas que utiliza tecnología digital para garantizar un resultado más preciso, rápido y mínimamente invasivo. Gracias a su tecnología guiada por ordenador, el proceso permite colocar las carillas en una sola sesión, con máxima exactitud y preservando la mayor cantidad posible de esmalte natural.
A diferencia de las carillas tradicionales, que requieren varias visitas y ajustes manuales, las carillas FirstFit ofrecen un procedimiento más predecible, cómodo y eficiente. En Clínica Dental Lorenzo Cáceres, tu clínica dental en La Laguna, somos especialistas en estética dental avanzada y trabajamos con esta técnica por sus excelentes resultados en armonía, naturalidad y durabilidad.

Las carillas dentales FirstFit en La Laguna son ideales para pacientes que desean mejorar la estética de su sonrisa corrigiendo color, forma, tamaño o pequeñas imperfecciones como desgastes o fracturas. También son una excelente opción para quienes buscan un resultado completamente personalizado, rápido y lo más conservador posible.
Antes de realizar el tratamiento, en Clínica Dental Lorenzo Cáceres llevamos a cabo un estudio estético completo para comprobar que las carillas son la mejor opción para ti o si existe otra alternativa más adecuada para tus objetivos.

No. El procedimiento es muy cómodo y se realiza bajo anestesia local, por lo que no sentirás molestias. Además, gracias a la planificación digital FirstFit, se minimiza la intervención y se evita el tallado agresivo, lo que reduce notablemente la sensibilidad posterior.
En nuestra clínica dental en La Laguna, te acompañamos en todo momento para que vivas una experiencia segura, tranquila y sin dolor.

 

Una de las grandes ventajas de FirstFit es su rapidez. Tras el estudio digital y la planificación personalizada, la colocación de las carillas se realiza en una sola sesión, gracias a las guías diseñadas a medida para tu sonrisa.
Esto permite que puedas disfrutar de tu nueva sonrisa perfecta en mucho menos tiempo que con los métodos tradicionales.

En Clínica Dental Lorenzo Cáceres somos referentes en estética dental avanzada en La Laguna, con más de 30 años de experiencia ayudando a pacientes a transformar su sonrisa de manera segura y personalizada. Nuestro equipo está altamente cualificado en la técnica FirstFit, lo que nos permite ofrecer resultados precisos, naturales y duraderos en menos tiempo que los métodos convencionales.

¿Qué opinan los pacientes de nuestra clínica?

Margarita EspinosaMargarita Espinosa
14:27 30 Jan 23
Son muy profesionales tod@s ell@s. Me realicé la ortodoncia invisible y posteriormente un blanqueamiento dental y he quedado muy satisfecha. Te aconsejan y te ayudan en todo lo que necesitas. 100% recomendable.
Destructor CésarDestructor César
15:57 22 Dec 22
Tras haberse jubilado mi dentista "de toda la vida" y en este caso para mi hijo de 15 años decidí, tras mucho indagar en la tremenda cantidad de profesionales odontólogos en La Laguna, asistir a la consulta del Dr. Lorenzo Cáceres. No puedo estar más satisfecha, estaba preocupada por encontrar a uno realmente bueno pero ha sido mejor que eso. Le ha arreglado los dientes al niño tras rotura jugando a fútbol y casi que los tiene mejor que antes del golpe que tuvo. Calidad-precio inmejorable. Instalaciones limpias, agradable y un trato ideal, muy agradecida por el trato recibido. Encontré la clínica y al Dr. que necesitaba. En casa tenemos nuevo dentista. Recomendable 100%.
La limpiezas dentales en este sitio son una maravilla. El mejor resultado. Aunque pueda haber sitios que cobran un poco menos, merece la pena este por lo bien que trabajan sus profesionales y, en especial, he salido muy contenta con la higienista, Eli. Gracias!
Marina Palau AcevedoMarina Palau Acevedo
20:19 30 Sep 22
Por fin encontré una clínica dental en la zona en la que me siento cómoda. En otros sitios solo me han querido sacar todo el dinero posible a costa de hacerme sentir mal con cualquier defecto bucodental.Vine para una urgencia de infección de muela y se portaron genial, muy amables. Y la limpieza que me realizaron fue un milagro!
Javier AbadJavier Abad
16:19 25 Jun 22
Llevaba muchos años decidiéndome por hacerme una ortodoncia y después de visitar muchas clínicas y consultas, finalmente me decidí y fui a la consulta del Dr. Javier.Después de muchos meses de correncion de mis dientes con el sistema Invisalign, el resultado para mi, ha sido muy satisfactorio.Durante estos meses, el trato, la atención y sobre todo la profesionalidad de todo el equipo ha sido maravillosa.Muchas gracias D. Javier y equipo
js_loader
Más de 30 años de experiencia
Especialistas en estética dental e implantología
Nuestro reconocimiento nos hace seguir mejorando
Especialistas en Invisalign
Odontología integral
Clínica asociada al PADICAN
Estudios del sueño
Zonas de aparcamiento

PIDE TU PRIMERA CITA GRATUITA

×